根管治療(米国式)

[浜松町院]03-5422-1291

[蒲田院]03-6715-8481

WEB予約 無料相談
キービジュアル
セカンドオピニオン対応

米国式」根管治療

他院で「抜歯宣告」されたとしても、
残せる可能性があります。
  • 「マイクロスコープ」
  • 「ラバーダム」
  • 「ニッケルチタンファイル」
  • 「CT分析」
  • 治療前
  • 治療後
  • 治療前
  • 治療後
  • 治療前
  • 治療後
  • 治療前
  • 治療後

根管治療の「質」はどこも同じではありません!

虫歯が進行すると「痛み」が生じ、感染が神経まで進むと歯の神経を除去する根管治療が必要となります。しかし、根管治療後、また痛みが再発した経験はないでしょうか?

東京医科歯科大学の調査では、根管治療を行った歯の50%〜70%になにかしらの問題が出たそうです
つまり、治療をしたとしても、ほとんどが「再発」しているということ。これは、なぜでしょうか?

その理由は、しっかりと感染部分を除去できていないから、もしくは治療中に再感染の原因を作ってしまっているからです。

根管治療の「成功率」を高めるために

根管治療の成功率を高める方法はすでに確立されています。

しかし、それを実施している歯科医院が少ないのが現状です。これは、日本の保険制度の限界が関係しています。保険制度の中で根管治療をしようとすると、利用できる材料や機材、そして治療にかけられる時間にどうしても制限があるためです。つまり、ちゃんとやろうとすればするほど「赤字」になる現状があります。しかし、赤字を覚悟して対応している医院もありますが、当然、その数は多くありません。

しかし、保険を適用しない保険外治療の場合は、そのような制限がなくなりますので、成功率が高い治療を行うことができる可能性が高まります。

成功率の高い「米国式」根管治療

当院では保険適用の根管治療と、保険外の根管治療の両方を行っています。ここでは「保険外」の治療内容に関してご紹介します。

当院で行う保険外の根管治療は根管治療先進国の「米国式」を採用しています。成功率は90%以上となります。「米国式」根管治療には、次のような特長があります。
  • マイクロスコープ」による精密治療
  • CT分析」による精密検査
  • ラバーダム」で再感染を防ぐ
  • ニッケルチタンファイル」で感染部位を取り除く
それぞれご紹介します。

「マイクロスコープ」による精密治療

マイクロスコープとは「歯科用顕微鏡」とも言われ、肉眼の何十倍も視野を拡大してくれる装置です。そのため、感染部位を見過ごすことなくしっかり除去ができます。しかし、マイクロスコープの日本での普及率はまだ10%と言われています。つまり、マイクロスコープがない医院では、まだ「肉眼」での治療を行っています。皆さんもイメージできると思いますが、肉眼ではミクロン単位の作業は不可能です。つまり、感染部位の取り残しがどうしても生じてしまい、再発の大きな理由になっています。
以下の画像は、マイクロスコープで見た患部の様子です。肉眼に比べてどれだけ精度の高い治療ができるか、お分かりいただけると思います。

複雑な根管を可視化する「CT」

歯科医院には「2次元」で撮影できるレントゲンと、「3次元」で撮影できるCTがあります。結論からお伝えすると「3次元」で撮影できるCTの方が精密な撮影、そして診断が可能です。

根管はとても複雑に分岐していることがあります。それを漏れなく綺麗にする必要があるのですが、そもそも、根管の有無を判断できなければ治療はできません。つまり、より精度の高い撮影と診断ができるCTを利用したほうが、根管治療の成功率が向上します。

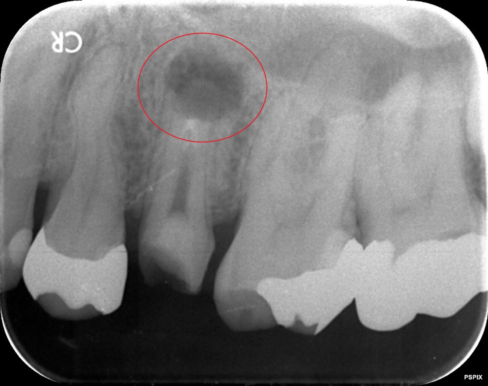
次の画像は、同じ患部をCTとレントゲンで撮影した画像です。
  • 比較
  • 比較
「左」の写真がCTで、「右」の画像がレントゲンで撮影したものです。
赤丸で囲んだところには、黒い影が見えます。ここには炎症が起こっているのですが、右の写真には影がありません。つまり、2次元のレントゲンだけで診断した場合、問題のある部分は治療しない選択をするため、最終的には抜歯の運命をたどるケースです。

「ラバーダム」で再感染防止

ラバーダムとは、治療中、唾液の混入を防ぐために利用します。唾液の中には多くの細菌が含まれていますので、患部に唾液が入ってしまうと再感染の原因になりますので、それを防ぐためのものです。
ラバーダムを利用するかしないかで、治療の成功率は大きく変わります。しかし、日本での利用率は数%にとどまります。これも日本の根管治療の成功率を下げている1つの大きな理由です。

「ニッケルチタンファイル」で感染部位を取り除く

実際に根管内の感染部位を除去する際には、「ファイル」という器具を利用します。通常、「ステンレスファイル」というものを利用しますが、柔軟性がないためしっかり感染部位を除去することができないケースがあります。そこで登場するのが「ニッケルチタンファイル」です。これは柔軟性があるため、複雑な根管にも対応でき、感染部位の除去がしっかり行えます。

「抜歯を回避」する取り組み

このページを見ている方は「ここまで進行すると抜歯しかないですね」と、他院で言われてしまった方かもしれません。もちろん、当院でも「抜歯しかないです」とお伝えすることはあります。

しかし、他院で抜歯と言われた歯を、当院では残せたケースも数多くあります。その理由は下記です。

✅そもそも「診断」が間違っていた
✅抜歯を回避する術式にその医院が対応していなかった

診断ミスは以外にも多くあります。また、抜歯を回避する術式は、高度な技術力を要するため、そもそもどの医院でもできるものではありません。ここでは抜歯を回避する術式に焦点を絞ってお伝えします。

根の先端の炎症を治療する「歯根端切除術」

根の先端に膿が溜まる状況を「根尖病巣」と言います。この状態になると多くが「抜歯宣告」されます。しかし「歯根端切除術」という術式で、抜歯をせずに治療できる場合があります。
歯根端切除術では、歯茎の外側を外科的に切り開き、歯の根の先端ごと膿の袋を取り除きます。取り除いた後の空洞は血液で満たされ、時間の経過と共に再生した骨で埋められます。
  • 治療前
  • 治療後

割れた根を治す「破折歯牙再植」

歯の根(歯根)が割れた場合、通常は抜歯になります。しかし、当院では「破折歯牙再植術」という術式で、抜歯せずに治療できることがあります。破折歯牙再植術は、割れてしまった歯をいったん抜いて修復し、元の場所に戻す治療法です。

セカンドオピニオンにも対応します

あまり知られていませんが、
歯科医師によって治療の考え方やアプローチは大きく異なります。


同じ症状でも、ある医院では「抜歯が必要」と言われた歯が、別の医院では「残せます」と診断されることも、実際によくあるのです。

「本当にこの治療でいいのかな…」
「他にもっと歯を残せる方法はないの?」

そんな迷いや不安を感じたとき、もう一人の歯科医師の意見を聞いてみることができるのが『セカンドオピニオン』です。当院でも、セカンドオピニオンを受け付けております。

他院で抜歯や神経を取る治療をすすめられた方、今の治療に少しでも疑問や不安がある方は、その歯を守る可能性がまだ残っているかもしれません。

大切な歯だからこそ、納得して治療に進んでほしい。あなたの気持ちにしっかり寄り添い、一緒に“後悔しない選択”を考えます。まずはお気軽にご相談ください。

自由診療に関する表記

本ページでご紹介している治療(マイクロスコープを用いた根管治療、歯根端切除術、破折歯牙再植など)は自由診療です。
健康保険は適用されません。

リスク・副作用について

治療に伴い、腫れ・痛み・出血・違和感・知覚過敏・神経損傷・再感染などが生じる場合があります。
また、症状や骨の状態により、再治療や抜歯が必要となることがあります。

治療結果について

治療効果・期間・費用・結果には個人差があります。
すべての方が同様の結果を得られるとは限りません。

当院の「こだわりの治療体制」のご紹介

他院で「ダメ」と言われても、まだ諦めないで!

なぜ、他院では下記のように言われてしまうことがあるのでしょうか?
  • もう抜歯しかない・・・
  • 当院では治療できない・・・
それは「問題の原因が把握できていない」からです。もちろん、当院でも対応できないケースはありますが、他院で対応できないと言われたケースでも、改善できたケースは多くあります。
特に「噛み合わせ」や「全身のバランス」に関係している問題は、多くの医院で専門的な診断や治療は対応できません。専門的なトレーニングを受けていないためです

当院ではケースによっては様々な検査機器を活用し、原因究明し、適切な治療法を選択します。

初診「個別」相談へのご案内

当院では、患者さんが抱えていらっしゃるお口のお悩みや疑問・不安などにお応えする機会を設けております。どんなことでも構いませんので、私たちにお話ししていただけたらと思います。
ご興味がある方は下記からお問い合わせください。

浜松町歯科・矯正治療院

03-5422-1291

〒105-0022
東京都港区海岸1-10-30
アトレ竹芝タワー棟3階
JR「浜松町駅」より徒歩9分

松木歯科医院

03-6715-8481

〒144-0052
東京都大田区蒲田5-48-10
ハイライフ蒲田102
JR蒲田駅より徒歩5分